Kvíz 21. století: Jak dobře znáte mozek?
Tento kvíz vznikl na základě nového vydání 21. STOLETÍ EXTRA, které je tentokrát celé věnováno jedinému orgánu – mozku. Nejvyspělejší technologii lidského těla. Místu, kde se rodí myšlenky, sny, paměť i vědomí.
Čekají vás otázky o vývoji mozku, jeho energetickém apetitu, paměti, reflexech, těhotenských změnách i mozkové mlze. Některé jsou lehčí, jiné vás možná donutí sáhnout hlouběji do závitů.
Tak schválně – kolik toho váš mozek ví sám o sobě?
Otázka 1
Kolik energie spotřebuje lidský mozek v poměru k tělesné hmotnosti?
Otázka 2
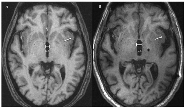
Co se děje s mozkovou kůrou během těhotenství podle nejnovějších studií?
Otázka 3
Kolik synapsí může mít dvouleté dítě na jeden neuron?
Otázka 4
Proč jsou vrozené reflexy rychlejší než vědomé rozhodnutí?
Otázka 5
Co se podle současných výzkumů může podílet na mimořádné paměťové kapacitě mozku kromě neuronů?
Otázka 6
Proč má mozek vysokou spotřebu energie i v klidovém stavu?
Otázka 7
Které buňky se podle výzkumů výrazně podílely na zvýšené spotřebě glukózy u časných stádií Alzheimerovy choroby?
Otázka 8
Co podle studií pravděpodobně způsobuje strukturální změny mozku u pacientů s long covidem?
Otázka 9
Jaký typ paměti využíváte, když si vzpomenete, co jste měli včera k obědu?
Otázka 10
Proč nelze vrozené reflexy tréninkem výrazně zrychlit?
Otázka 11
Kdy se začíná utvářet zárodek nervové soustavy člověka?
Otázka 12
Kolik procent konečného objemu mozku vznikne během prvních let po narození?
Otázka 13
Kolik procent snů podle výzkumů přímo souvisí se sexem?
Otázka 14
Která část mozku je považována za centrum vědomí a složitého myšlení?
Otázka 15
Co se děje se vzpomínkou pokaždé, když si ji znovu vybavíme?
Výsledky kvízu
Správně jste odpověděli na 0 z 0 otázek
Přehled odpovědí