Palec na noze naklánějící se k ostatním prstům neboli hallux vagus je ryze lidským a velmi bolestivým onemocněním. Trápí asi čtvrtinu dospělé populace, trpěli na něj však už i pravěcí předchůdci člověka a nalezen byl také u staroegyptských mumií.
Proč k deformitě vůbec dochází a proč ani po tak dlouhé době nevymizela?.
Vbočené palce sužují lidské nohy od nepaměti. Zajímavé však je, že ke zvýšení jejich výskytu došlo ve 14. a 15. století v Anglii, kdy až 27 % koster pocházejících z tohoto období vykazuje známky vbočených palců ve srovnání s 6 % v dřívějších stoletích.
Za pravděpodobného viníka jsou označovány tehdy rozšířené boty zvané „poulaine“ – kožená obuv s dlouhou zužující se špičkou. Odborníky však trápí fakt, proč se hallux vagus v populaci stále vyskytuje, když by evoluce měla směřovat k preferenci palce u nohy bez deformit.
Daň za chůzi po dvou
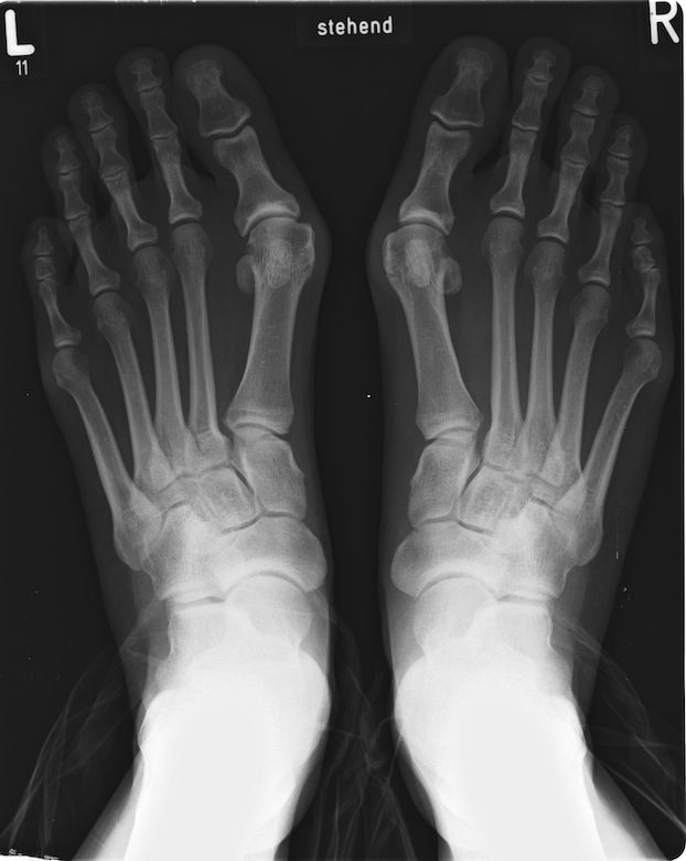
Když se palec u nohy naklání k ostatním prstům, dochází k rozšíření chodidla a vyčnívání kloubu palce z boku nohy. Toto nesprávné postavení ovlivňuje i ostatní prsty, vede k bolesti, necitlivosti, zánětům kůže, mozolům a kuřím okům, otokům a zarudnutí.
Může mít dokonce za následek i jiné deformace nohy, například kladívkové nebo drápovité prsty. Deformita, častěji se vyskytující u žen a obecně osob nad 65 let věku, postiženému ztěžuje nejen každodenní život, ale i hledání vhodné obuvi.

Hallux vagus je dnes jednou z nejběžnějších chorob nohou u lidí. Z evolučního hlediska to ale nedává smysl, přirozený výběr měl upřednostnit jedince s nohama, které se nedeformují. Proč k tomu tedy nedošlo?
Odpovědí je podle odborníků významná reorganizace postavení palce u nohy, k níž došlo u našich předchůdců. Tehdy jejich palec u nohy ztratil uchopovací funkci, kterou stále plní u ostatních primátů, a začal přicházet do kontaktu se zemí.
S rostoucím zatížením přetlačí palec svaly, šlachy a vazy, které ho obklopují, a deformita je na světě.
Bez operace to nepůjde!
Na vzniku hallux vagus se podílí genetika i typ nohy, častěji na ně trpí lidé s nízkými klenbami, a to kvůli volnosti vazů a svalstva obklopujícího palec. Důvodem, proč je nyní tato deformita tak častá, je i to, že zatímco jsme byli stvořeni k chůzi po trávě a měkkých površích, dnes chodíme po tvrdých podlahách a betonu.
Navíc mnoho bot neposkytuje nohám dostatečnou oporu. Palce u nohou se tak „obětují“, aby chránily boky a záda před poškozením.
Lidé mohou zpomalit rozvoj vbočených palců nošením podpůrné obuvi a léčit bolest protažením, ledováním nebo medikací. Jakmile se však vbočení vytvoří, existuje jen jeden způsob, jak ho odstranit. „Pokud je potřeba řešit rozvinutou deformitu hallux valgus, existuje jen jediná možnost, a tou je operace,“ říká Radek Černý, podiatr působící ve Ždáru nad Sázavou.
Operace se liší dle rozsahu vady, zatímco někdy stačí zpevnění destičkami a dráty, jindy je nezbytná úplná náhrada kloubu. Rekonvalescence následně trvá zpravidla měsíc. Špatnou zprávou je, že se někdy může i po operaci deformita vrátit.
Zdroje: National Geographic